CABINET DENTAIRE
Parce que votre sourire n'attend pas !
37 bis Boulevard Paoli, 20200 BASTIA
+33 4 95 34 18 63
CABINET DENTAIRE
Parce que votre sourire n'attend pas !

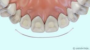
Fil de contention


video-play-icon

Articles similaires

Création par Webdentiste

Connexion